흉부CT로 알 수 있는 질병 & 복부
의학적 진단 과정에서 CT(Computed Tomography, 전산화 단층촬영)는 가장 신뢰도가 높은 검사 중 하나로 꼽힙니다. CT는 인체 내부를 단면으로 촬영하여 구조적 이상이나 병변을 정밀하게 확인할 수 있게 해줍니다. 특히 흉부 CT는 폐, 기관지, 종격동, 심장 주변 혈관과 같은 흉부 구조물을 고해상도로 촬영할 수 있어, 단순 X-ray 검사에서 놓칠 수 있는 미세한 질환까지도 발견할 수 있다는 점에서 큰 장점을 가집니다.


흉부CT로 알 수 있는 질병
예를 들어, 흉부CT로 알 수 있는 질병을 찾는 것은 단순 흉부 X-ray에서 보이지 않던 초기 폐암이나 작은 폐결절도 흉부 CT에서는 선명하게 보이므로 조기 치료 가능성을 높여줍니다.


또한 흉부 CT는 응급 상황에서 혈관 질환(폐색전증, 대동맥 박리 등)을 빠르게 진단할 수 있어 환자의 생명을 지키는 데에도 중요한 역할을 합니다. 이번 글에서는 주요 흉부CT로 알 수 있는 질병들을 체계적으로 살펴보고, 이어서 복부 CT로 확인할 수 있는 것들까지 함께 정리해보겠습니다.
1. 폐 질환
흉부 CT의 가장 큰 활용 분야는 바로 폐 질환 진단입니다.
- 폐암: 흉부 CT는 조기 폐암을 발견하는 데 필수적입니다. 저선량 흉부 CT 검진은 흡연력 있는 사람들에게 폐암 조기 발견을 위해 적극적으로 권고되고 있습니다. 5mm 이하의 작은 결절도 잡아낼 수 있으며, 양성·악성 여부를 감별하기 위한 중요한 기초 자료를 제공합니다.
- 폐렴: X-ray에서는 뿌옇게만 보이는 폐렴 병소도 CT를 통해 병변의 범위, 농양 여부, 합병증까지 자세히 확인할 수 있습니다. 특히 면역저하 환자에서 발생하는 진균성 폐렴, 바이러스성 폐렴 등은 CT 없이는 정확한 진단이 어렵습니다.
- 폐결핵: 활동성 결핵, 잠복 결핵, 재활성 결핵 여부를 CT로 확인할 수 있습니다. 섬유화, 공동 형성, 결절 분포 양상 등 결핵 특유의 소견을 찾는 데 유리합니다.
- 만성폐쇄성폐질환(COPD): 폐기종, 기관지 확장증 여부를 평가할 수 있어 치료 전략을 세우는 데 도움이 됩니다.
- 간질성 폐질환: 폐섬유화증, 특발성 간질성 폐렴 등은 X-ray로는 구분이 어렵지만 CT에서 벌집모양(honeycombing) 변화나 간질성 음영을 명확히 확인할 수 있습니다.


2. 종격동 및 흉부 종양
흉부 CT는 종격동에 위치한 다양한 종양을 조기 발견하고 그 크기와 위치를 정밀하게 평가할 수 있습니다.
- 종격동 종양: 대표적으로 흉선종, 림프종, 신경종이 있습니다. 흉부 CT는 종양의 정확한 위치를 알려주어 수술 계획을 세우는 데 도움이 됩니다.
- 기관지 종양: 기관지 내부 혹은 주변에 생기는 종양을 확인할 수 있습니다. 기관지 내강이 좁아진 정도와 환기 장애 범위까지 평가 가능합니다.
- 전이암: 다른 장기에서 발생한 암이 폐나 종격동으로 전이된 경우도 CT로 조기 발견이 가능합니다.
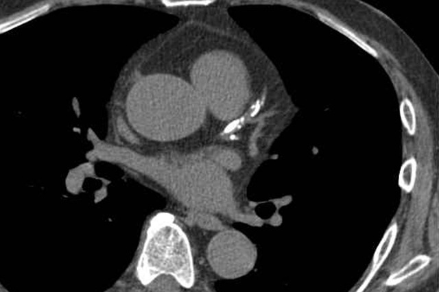
3. 혈관성 질환
혈관 질환은 응급 상황으로 이어질 수 있기 때문에 신속한 CT 진단이 필수적입니다.
- 폐색전증: 폐동맥에 혈전이 막히는 질환으로, 조기에 진단하지 못하면 생명을 위협할 수 있습니다. CT 폐혈관조영술은 폐색전증을 확인하는 가장 정확한 검사법입니다.
- 대동맥류·대동맥 박리: 흉부 대동맥이 늘어나거나 찢어지는 응급질환입니다. CT는 파열 여부, 박리된 층의 위치와 범위를 실시간으로 확인할 수 있습니다.
- 혈관 기형: 선천적인 혈관 기형이나 동정맥루도 CT로 정밀하게 관찰할 수 있습니다.

4. 심장 및 흉부 구조 이상
흉부 CT는 심장 자체보다는 주로 심막, 혈관, 구조적 이상을 평가하는 데 사용됩니다.
- 심막 질환: 심막삼출, 심막염 등 확인 가능
- 심장 비대: 심장 크기와 구조적 이상 파악
- 선천성 심장 기형: 대혈관 위치 이상, 폐정맥 기형 등 발견
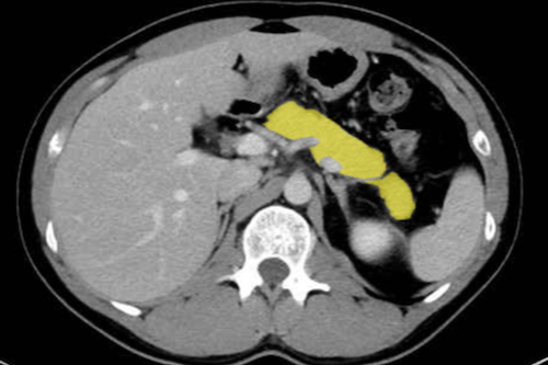
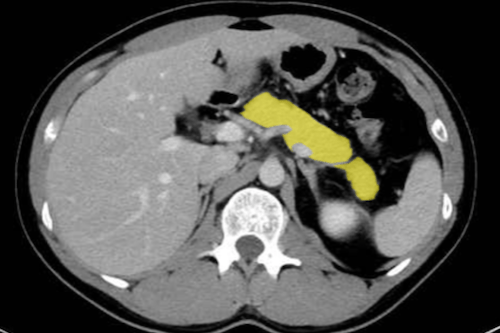
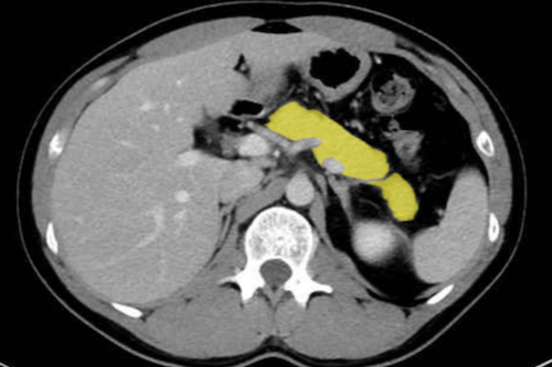
복부CT로 알 수 있는 질병
복부CT로 알 수 있는 질병들로는 간, 담낭, 췌장, 신장, 비장, 위장관, 복부 혈관까지 폭넓게 관찰할 수 있습니다. 특히 소화기 종양 진단이나 응급 복통 원인 파악에 중요한 역할을 합니다.

1. 간 질환
- 간암: 간세포암, 전이암 진단 가능. CT는 종양의 크기, 혈류 패턴, 전이 여부 확인에 사용됩니다.
- 간경변: 간의 울퉁불퉁한 변화를 관찰할 수 있고, 합병증으로 나타나는 식도정맥류, 복수 여부도 확인됩니다.
- 지방간: 지방 침착 정도를 CT로 정량적으로 평가 가능.
2. 담낭 및 췌장 질환
- 담석증: 담낭 내 결석을 쉽게 확인 가능. 초음파보다 정확도가 높습니다.
- 췌장암: 조기 발견이 어렵지만 CT에서 종괴, 췌관 확장 소견으로 추정 가능.
- 급성·만성 췌장염: 췌장의 염증, 괴사, 석회화 여부를 확인 가능.

3. 신장 및 비뇨기 질환
- 신장결석: 크기, 위치, 요관 막힘 여부를 CT로 명확하게 확인할 수 있습니다.
- 신장암, 낭종: 종양의 성격(고형, 낭성)을 판별하고, 전이 여부를 확인합니다.
- 수신증: 요로 폐쇄로 인해 신장이 부풀어 오른 상태를 진단합니다.
4. 위장관 질환
- 장폐색: 장이 막혀 음식물이 지나가지 못하는 상태로, 폐색 위치와 원인을 확인합니다.
- 장염: 장벽 두꺼워짐, 주변 염증 반응 등을 평가합니다.
- 위암, 대장암: 종양의 크기와 전이 여부를 CT로 확인 가능. 수술 전 병기 설정에도 사용됩니다.

5. 혈관 질환
- 복부 대동맥류: 대동맥이 풍선처럼 부풀어 오른 상태로, 파열되면 치명적입니다. CT는 크기와 위치를 정확히 측정합니다.
- 혈전증: 장간막 혈관이 막혀 장 괴사를 일으킬 수 있는데, CT로 조기 진단이 가능합니다.
결론

흉부 CT와 복부 CT는 단순한 영상 검사를 넘어 환자의 생명을 지키는 중요한 도구입니다. 흉부 CT는 폐암, 폐렴, 결핵, COPD, 폐색전증, 대동맥류 등 호흡기와 혈관 관련 질환 진단에, 복부 CT는 간암, 담석증, 췌장암, 신장결석, 장폐색, 복부 대동맥류 등 소화기와 비뇨기 질환 진단에 유용하게 사용됩니다.

CT 검사는 방사선 노출이 수반되기 때문에 무분별하게 시행해서는 안 되지만, 의학적으로 필요할 때 정확히 활용하면 조기 진단과 치료 방향 설정에 큰 도움을 줍니다. 특히 암이나 혈관 질환처럼 조기 발견이 중요한 질환일수록 CT 검사의 역할은 더 커집니다. 건강 검진이나 증상 평가 과정에서 흉부 CT와 복부 CT는 필수적인 검사로 자리 잡고 있으며, 앞으로도 의료 현장에서 중요한 역할을 계속 수행할 것입니다.
- 흉부ct로 알수있는질병5
- 폐기종 폐ct 사진2
- 복부.흉부ct다른점1
'건강 과학 생물 천문 식품' 카테고리의 다른 글
| 대장내시경 전 먹어도 되는음식 1일전 2일전 3일전 (0) | 2025.12.19 |
|---|---|
| 가래가 생기는 원인 (0) | 2025.12.18 |
| 1kW는 몇 마력? 1kw는 몇 kcal? 1kva는 몇kw? 마력을 kw로 환산 전력과 출력 단위 변환 완전 정복 (0) | 2025.12.11 |
| 숨이차며 목이 답답한 증상 원인과 해결방법 (0) | 2025.12.09 |
| 용각산 의 효능, 복용법 (0) | 2025.12.04 |