갈비뼈 금간 증상, 금이갔을때 회복기간, 빨리 낫는법
갈비뼈에 손상이 생겼을 때 나타나는 증상과 회복 과정, 그리고 빠른 회복을 위한 방법을 구체적으로 정리한 내용입니다. 갈비뼈는 중요한 신체 부위로, 부상이 발생할 경우 적절한 대응이 필수적입니다. 이 글에서는 갈비뼈 손상에 대한 상세한 정보를 제공하며, 독자가 손상 원인과 증상을 정확히 이해하고 적합한 회복 방법을 찾을 수 있도록 돕고자 합니다.


부상 발생 시 대처 방안뿐만 아니라 회복을 가속화하는 생활 습관과 예방 방법도 함께 다룹니다.
갈비뼈 금간 증상
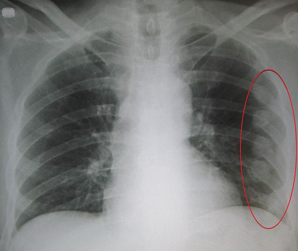
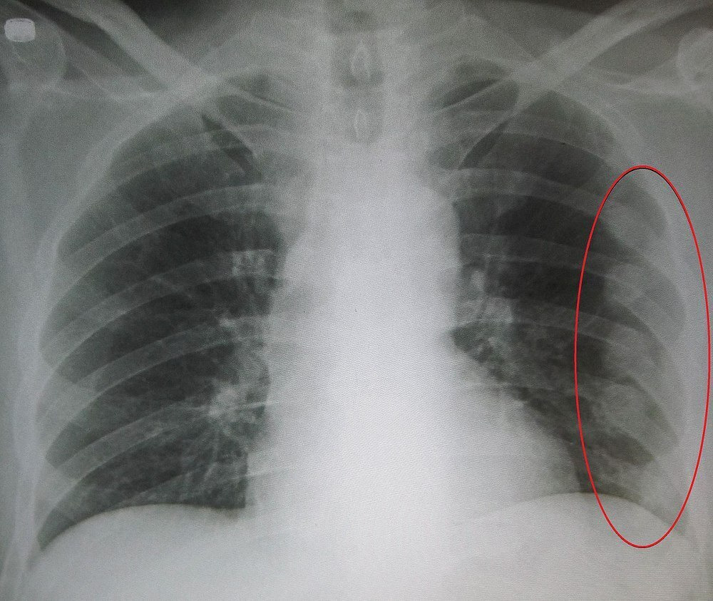
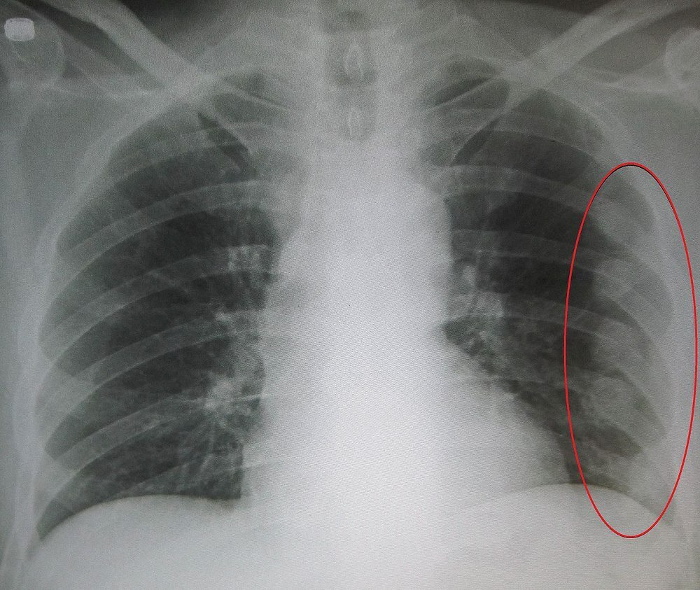
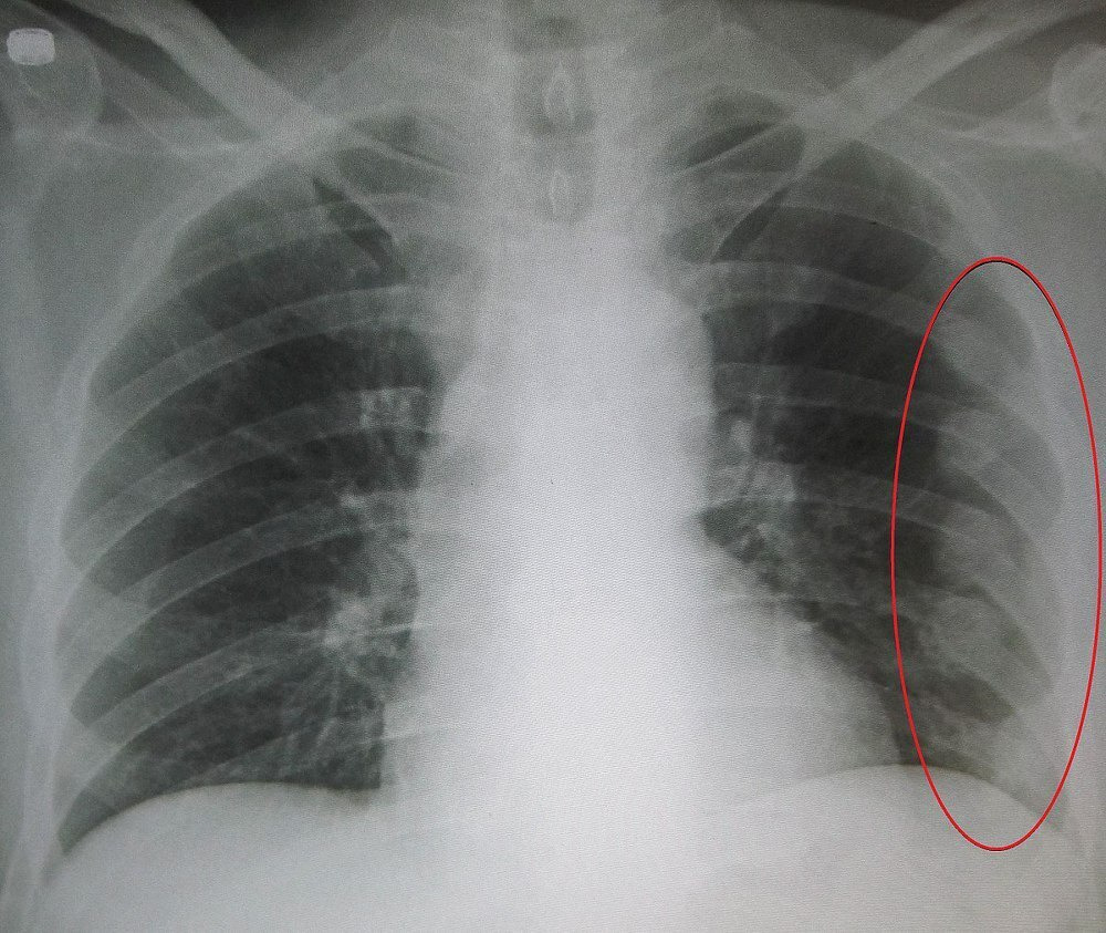
갈비뼈가 금이 가거나 부러지는 것은 흔히 발생할 수 있는 부상 중 하나입니다. 특히, 교통사고, 낙상, 스포츠 부상과 같은 충격으로 인해 갈비뼈에 손상이 가는 경우가 많습니다. 갈비뼈가 금이 가면 특별한 증상들이 나타나며, 이러한 증상은 회복 기간과 치료 방법에 영향을 미칩니다. 다음은 갈비뼈에 금이 갔을 때 나타날 수 있는 주요 갈비뼈 금간 증상들입니다.

흉통과 압통
가장 흔한 증상은 흉통입니다. 이 통증은 갈비뼈가 손상된 부위를 중심으로 느껴지며, 깊은 호흡을 하거나 기침, 웃음을 통해 더 심해질 수 있습니다. 또한 손상된 부위를 만지면 압통이 느껴지는 경우가 많습니다.
흉통은 단순히 통증을 넘어 일상생활에 큰 불편을 초래합니다. 심각한 경우 심호흡이나 간단한 움직임조차 어려울 수 있습니다. 이러한 증상은 갈비뼈 손상의 심각도를 예측하는 중요한 단서가 될 수 있습니다.


호흡 곤란
갈비뼈 손상은 호흡 시마다 갈비뼈가 움직이기 때문에 통증을 유발하여 호흡을 얕게 만듭니다. 이로 인해 산소 부족을 경험할 수도 있으며, 심각한 경우 폐에 손상이 생길 가능성도 있습니다. 심각한 호흡 곤란이 발생하면 반드시 응급실을 방문하여 폐 손상 여부를 확인해야 합니다.
호흡 곤란은 종종 숨이 차거나 심장 박동이 빨라지는 증상과 함께 나타날 수 있습니다. 이 경우 적절한 산소 공급이 필수적이며, 지속적인 증상 관찰과 전문적인 치료가 필요합니다.

부종과 멍
부상 부위에 부종과 멍이 생길 수 있습니다. 외부에서 눈으로 확인 가능한 경우가 많아 손상의 정도를 파악하는 데 도움이 될 수 있습니다. 부종은 주로 초기 단계에서 나타나며 시간이 지남에 따라 줄어들 수 있습니다. 하지만 멍이 점점 심해진다면 내부 출혈 가능성을 염두에 두어야 합니다.
움직임 제한
상체를 움직이거나 몸을 구부릴 때 심한 통증을 느끼며 움직임에 제한이 생깁니다. 이는 갈비뼈 부상이 일상생활에 큰 영향을 미칠 수 있음을 의미합니다. 단순한 움직임조차도 조심스럽게 해야 하며, 무리한 활동은 갈비뼈 손상을 악화시킬 수 있습니다.
갈비뼈 금이갔을때 회복 기간
갈비뼈가 금이 갔을 때, 회복 기간은 부상의 심각도와 개인의 건강 상태에 따라 크게 달라질 수 있습니다. 일반적으로 갈비뼈 손상은 약 6주에서 8주 정도 소요되지만, 경우에 따라 이보다 짧거나 길어질 수 있습니다. 특히 손상의 심각도, 나이, 그리고 신체 상태와 같은 요인들이 회복 속도에 큰 영향을 미칩니다. 갈비뼈는 호흡과 밀접하게 연관되어 있어 손상된 상태에서 신체의 자연 치유력이 제대로 작용하지 못할 경우 회복이 지연될 수 있습니다. 이 글에서는 이러한 요인들과 함께 회복 속도를 높이기 위한 방법을 구체적으로 살펴보겠습니다. 적절한 치료와 관리를 통해 빠른 회복을 도모할 수 있으며, 이를 위해 의학적 조언과 생활 습관의 변화가 필요합니다.


부상의 정도
갈비뼈가 단순히 금이 갔다면 회복 기간이 짧을 수 있지만, 완전히 부러졌거나 주변 장기 손상이 동반된 경우 더 긴 치료와 회복이 필요합니다. 갈비뼈 부상이 폐, 간과 같은 주요 장기에 영향을 미친다면 회복 속도와 방법이 크게 달라질 수 있습니다.
나이와 건강 상태
젊고 건강한 사람은 대체로 회복 속도가 빠르며, 나이가 많거나 만성 질환이 있는 경우 회복이 지연될 수 있습니다. 특히 골다공증이 있는 환자는 갈비뼈 손상이 더 쉽게 발생하고 회복도 더딜 수 있습니다. 또한, 흡연자와 비흡연자의 회복 속도 차이도 주목할 만합니다. 흡연은 뼈의 혈액 공급을 방해하여 회복을 늦출 수 있습니다.
치료 및 관리 방법
적절한 치료와 관리는 회복 속도에 직접적인 영향을 미칩니다. 안정과 적절한 통증 관리가 중요하며, 의사의 지시에 따라 치료를 받는 것이 필수적입니다. 치료 방법에는 진통제 사용, 물리치료, 그리고 필요한 경우 수술이 포함될 수 있습니다.
갈비뼈 금이 갔을 때 빨리 낫는 법
갈비뼈 손상의 회복을 돕기 위해 다양한 방법을 실천할 수 있습니다. 갈비뼈는 호흡과 상체 움직임에 중요한 역할을 하기 때문에 부상 시 신속하고 적절한 대처가 필수적입니다.갈비뼈 금이 갔을 때 빨리 낫는 법은 충분한 휴식과 적절한 치료가 병행되어야 합니다. 또한, 회복 과정 중 통증 관리를 위한 약물 사용, 호흡 운동을 통한 폐 기능 유지, 그리고 전반적인 건강 상태 개선을 위한 생활 습관 관리가 필요합니다. 다음은 갈비뼈가 금이 갔을 때 회복 속도를 효과적으로 높이는 데 유용한 방법들을 단계별로 소개합니다.


충분한 휴식과 안정
갈비뼈가 손상되었을 때는 과도한 움직임을 피하고 안정된 상태를 유지하는 것이 가장 중요합니다. 활동량을 줄이고 통증이 심할 때는 가능한 한 누워서 쉬는 것이 좋습니다. 안정적인 자세를 유지하며, 부상의 심각도를 줄이기 위해 쿠션이나 베개를 활용하는 것도 도움이 됩니다.
적절한 통증 관리
통증이 심하면 진통제를 복용하는 것이 도움이 됩니다. 의사의 처방에 따라 약을 복용하고, 통증이 극심하거나 오래 지속될 경우 반드시 전문의의 진료를 받으세요. 냉찜질은 초기 통증과 부종을 줄이는 데 효과적이며, 이후에는 온찜질로 혈액 순환을 촉진해 회복을 도울 수 있습니다.
심호흡 연습
호흡이 얕아지면 폐렴이나 폐확장 부진 같은 합병증이 발생할 수 있습니다. 통증을 줄이기 위해 천천히 깊게 숨을 쉬는 연습을 통해 폐 기능을 유지하세요. 심호흡은 폐에 산소를 공급하고, 혈액 순환을 촉진하며 전반적인 회복을 돕습니다.
물리치료
전문적인 물리치료는 회복을 가속화하는 데 도움이 될 수 있습니다. 치료사의 도움을 받아 가벼운 스트레칭이나 재활 운동을 병행하면 근육 긴장을 완화하고 회복을 돕습니다. 물리치료는 통증을 줄이고 신체의 움직임을 원활하게 만들어 일상 복귀를 앞당깁니다.
금연 및 건강한 식단 유지
흡연은 뼈의 회복 속도를 늦출 수 있으므로 금연이 필요합니다. 또한, 칼슘과 비타민 D가 풍부한 음식을 섭취해 뼈 건강을 유지하는 것이 중요합니다. 우유, 치즈, 녹색 채소 등을 섭취하면 회복에 도움이 됩니다. 추가로, 단백질과 오메가-3 지방산을 포함한 식단은 염증을 줄이고 치유를 촉진합니다.
결론
갈비뼈에 금이 가는 부상은 누구에게나 발생할 수 있는 문제이지만, 적절한 치료와 관리로 빠른 회복을 기대할 수 있습니다. 증상이 나타났을 때 조기에 대처하고, 의사의 진단에 따라 적절한 치료를 받는 것이 중요합니다. 회복 기간 동안 충분히 쉬고 건강한 생활 방식을 유지하면 갈비뼈의 회복을 효과적으로 도울 수 있습니다. 장기적인 건강을 위해 예방 방법과 꾸준한 자기 관리도 필수적입니다.
'건강 과학 생물 천문 식품' 카테고리의 다른 글
| 스페이스x 우주선 스타십 공중폭발 영상 별빛이 내린다 샤랄라~ (0) | 2025.01.17 |
|---|---|
| 1차병원 2차병원 3차병원, 상급종합병원이란? 종합병원 차이 구분 (0) | 2025.01.03 |
| 겨울철 별자리 지도 (0) | 2024.12.12 |
| 피타고라스의 정리 증명 (0) | 2024.11.25 |
| 히비스커스의 효능 10가지 (0) | 2024.11.12 |