발가락 골절 완치기간, 엄지‧새끼손가락 뼈에 금이 가면? 깁스, 스플린트
발가락이나 손가락 뼈 골절은 일상에서 예상치 못하게 자주 발생하는 부상 중 하나입니다. 가구 모서리에 발가락을 찧거나, 축구를 하다가 발등을 세게 차이거나, 손가락으로 무거운 물건을 받치는 과정에서 순식간에 뼈에 금이 갈 수도 있습니다. 특히 발가락은 우리의 체중을 지탱하는 데 큰 역할을 하고, 손가락은 섬세한 작업에 필수적이므로, 골절 시에는 일상생활 전반이 불편해집니다.
하지만 “부러진 뼈도 언젠가는 붙겠지” 하며 막연히 방치하기보다는, 적절한 치료와 재활 과정을 거쳐야 빠르고 건강하게 회복할 수 있습니다. 본 포스팅에서는 발가락 골절과 손가락 뼈에 금이 갔을 때 손가락 골절 완치기간과, 엄지발가락 뼈에 금이 가면 발가락 완치기간, 그리고 깁스나 스플린트 사용법 및 수술 여부 등 다양한 정보를 자세히 살펴보겠습니다.


혹시라도 “발가락 골절을 방치하면 어떻게 되나?”라고 궁금하신 분들은, 이 글을 통해 올바른 회복 과정을 계획하실 수 있을 것입니다.
이번 엄지‧새끼 손가락, 발가락 골절 완치기간 글은 의료 전문가의 조언을 대체하지 않으며, 실제 치료와 재활은 전문의의 지시를 따르는 것이 가장 안전합니다. 그럼 시작해 봅시다!
발가락 골절이란?
발가락 골절은 말 그대로 발가락 뼈(지골)에 금이 가거나 완전히 부러지는 상황을 뜻합니다. 일상 속 작은 충격부터, 스포츠 활동 중 강한 타격까지 다양한 원인으로 생길 수 있습니다. 특히 발가락 끝이 가구에 부딪히는 사소한 실수로도 골절이 발생할 수 있어, “정말 작게 다쳤는데 의외로 크게 아프다”라는 말을 자주 듣게 됩니다.



발가락 골절의 사고 원인
- 가정 내 사고: 방, 거실, 부엌 등에서 맨발로 생활하다가 가구 모서리에 발가락을 찧거나, 바닥에 흩어진 물건을 세게 밟아서 골절이 생길 수 있습니다.
- 스포츠 부상: 축구, 농구, 무술, 달리기 등에서 발가락에 급작스러운 압력이 가해지거나 다른 사람의 발에 밟혀 골절이 일어나기 쉽습니다.
- 낙상 사고: 계단이나 길에서 넘어지면서 발가락이 접히거나 꺾일 때 골절이 발생할 수도 있습니다.
골절 유형
- 단순 골절: 뼈가 한 번 금이 가거나 깨진 정도로, 비교적 뼈 조각이 많이 어긋나지 않은 경우입니다.
- 복합 골절: 뼈가 여러 조각으로 나뉘거나, 뼈가 제 위치에서 크게 어긋난 경우입니다.
- 압박 골절: 압력에 의해 납작하게 뭉개지듯 부러진 형태이며, 골절 부위가 복합적으로 손상되기 쉽습니다.
발가락 골절 완치기간
별것 아닌 것 같아 보이는 발가락 골절 완치기간은 골절의 종류와 치료 방식에 따라 다르게 나타납니다. 통상적으로, 크게 부러지지 않고 단순 금이 간 정도라면 6~8주 사이에 통증이 완화되고 뼈가 붙기 시작합니다. 그러나, 수술까지 필요한 복합 골절이라면 추가 회복 시간이 발생할 수 있습니다.
발가락 골절 깁스 치료
- 적용 시기: 뼈가 많이 어긋났거나, 골절 부위가 안정적으로 고정되어야 할 때.
- 소요 기간: 약 6~8주 정도 깁스를 하고 지내는 경우가 많습니다.
- 주의사항: 깁스를 한 상태에서 무리하게 걸어 다니거나, 발가락 부위를 누르는 행위는 피해야 합니다. 깁스 내부의 습기 관리가 매우 중요하며, 가려움이나 피부 트러블이 발생하지 않도록 조심해야 합니다.
- 회복 후: 깁스를 풀면 재활 운동을 시작하는데, 발가락 근력과 유연성을 되찾기 위해 전문가와 상의하에 물리치료나 홈 트레이닝을 병행합니다.
발가락 골절 스플린트 치료



- 적용 시기: 발가락에 미세 골절이나 단순 금이 간 상태라면, 깁스 대신 좀 더 간편한 스플린트를 사용하기도 합니다.
- 소요 기간: 보통 4주 정도 스플린트를 착용하고, 뼈가 잘 붙는지 경과를 지켜봅니다.
- 특징: 깁스보다 간편하게 착용‧제거가 가능해 위생적인 면에서 이점이 있습니다. 하지만 스스로 잘 고정시키고 관리하는 책임이 따르므로, 착용자 세심한 주의가 필요합니다.
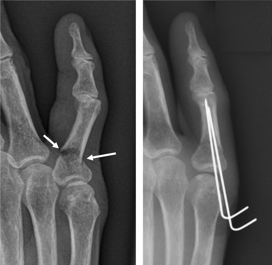
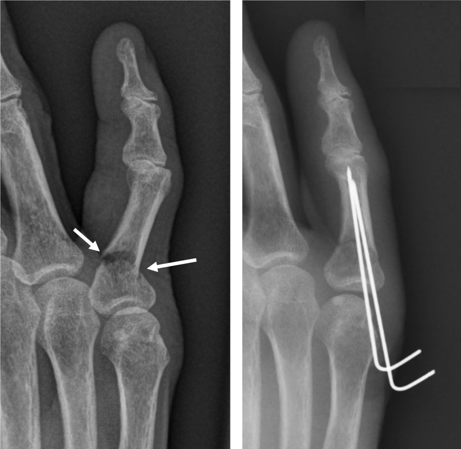
발가락 골절 수술 치료


- 적용 시기: 복합 골절, 압박 골절, 뼈 조각이 여러 개로 나뉜 경우처럼 깁스나 스플린트만으로 회복이 어려운 경우.
- 회복 기간: 수술 후에도 2~4주 이상의 안정기가 필요하며, 이후에는 재활 운동이 필수로 따라옵니다.
- 치료 방식: 핀을 박거나 금속판을 대는 방법을 사용합니다. 골절 부위를 정확히 정렬하고 뼈가 잘못 붙지 않도록 하는 것이 핵심입니다.
손가락 뼈 골절에도 비슷하게 적용
발가락만큼이나 손가락 역시 일상에서 쉽게 골절이 발생하는 부위입니다. 손가락 골절은 대개 손을 이용해 무거운 물건을 받치거나, 야구‧배구 같은 스포츠 활동 중 충격을 받았을 때 생깁니다. 손가락은 정교한 동작을 수행해야 하므로, 치료와 재활 과정이 특히 중요합니다.

깁스 vs 스플린트 vs 핀 고정 수술
- 깁스 치료
- 손가락에 금이 간 정도가 비교적 가벼운 경우, 깁스를 통해 4~6주 정도 고정하는 방식이 주로 사용됩니다.
- 깁스 제거 후에는 손가락 관절의 경직이나 근력 저하를 방지하기 위해 가벼운 스트레칭이나 물리치료가 필수입니다.
- 스플린트 치료
- 미세 골절이나 가벼운 균열이라면, 손가락에 맞춤형 스플린트를 부착하여 2~4주가량 유지합니다.
- 깁스보다 쉽게 탈착 가능해 일상생활 시 편리할 수 있지만, 자칫 잘못 부착하면 골절 부위가 자극을 받아 회복이 늦어질 수 있으므로 주의가 필요합니다.
- 핀 고정 수술
- 뼈가 복합적으로 부러지거나, 어긋나서 그대로 붙으면 기능에 치명적 문제가 예상되는 경우에는 핀이나 금속판을 삽입하는 수술을 진행합니다.
- 수술 후에는 손가락 움직임을 최소화하고, 적절한 시점에 재활 운동을 시작해야 합니다.
손가락, 발가락 골절 치료 비용과 보험
골절 치료 비용은 ‘치료 방식’, ‘치료 기관’, 그리고 ‘환자 상태’에 따라 천차만별입니다. 일반적인 깁스나 스플린트 치료라면 상대적으로 저렴하지만, 수술이 필요한 경우 비용이 크게 상승할 수 있습니다.


진료비와 검사비
- X-ray 촬영: 기본적으로 뼈 상태를 확인하기 위해 X-ray 촬영이 이루어지며, 병원에 따라 2~5만 원 내외의 비용이 들 수 있습니다.
- CT나 MRI: 필요하다면 추가적으로 시행될 수 있으며, 비급여 항목이 많아 비용이 더 커질 수 있습니다.
수술비와 보험 처리
- 수술비: 발가락이나 손가락 골절 수술(핀 고정, 금속판 삽입 등)은 약 60만 원~150만 원 정도로 편차가 큽니다. 상황에 따라 입원비, 수술 후 재활치료비가 추가됩니다.
- 보험 적용:
- 건강보험: 일부 기본적인 치료 항목은 건강보험으로 커버가 됩니다. 그러나 세부 치료 중 비급여 부분이 있을 수 있어, 사전에 확인이 필요합니다.
- 실손보험‧상해보험: 골절 진단금이 따로 책정된 보험 상품도 있지만, 최근에는 손가락‧발가락 골절을 보장에서 제외하는 상품이 종종 보입니다. 따라서 보험 약관을 꼼꼼히 살펴보고 담당자와 상담하는 것이 중요합니다.
재활과 주의사항
골절이 회복되는 동안은 물론, 깁스‧스플린트를 풀고 난 이후까지도 꾸준히 조심해야 합니다. 무리한 사용으로 골절 부위가 다시 손상되거나, 뼈가 제대로 붙지 않아 변형될 위험이 있기 때문입니다.



발가락 및 손가락 기능 회복
- 스트레칭: 가벼운 굽히기‧펴기 동작부터 시작해, 점차 운동 범위를 넓힙니다.
- 근력 강화: 손가락이라면 말랑한 볼이나 고무밴드를 활용해 근력을 천천히 늘리며, 발가락인 경우에는 발바닥을 스트레칭하거나 발가락으로 수건을 집는 운동 등을 시도합니다.
무리하지 않는 적절한 운동
- 깁스나 스플린트를 제거한 직후에는 관절이 딱딱하게 굳어있을 수 있습니다. 이때를 놓치지 말고, 전문가의 지도를 받아 가벼운 관절 운동부터 시작해 주세요.
- 통증이나 부종이 심해지면 즉시 운동을 중단하고, 병원을 방문하거나 물리치료사의 상담을 받아야 합니다. “안 되면 말지” 하고 방치하다 보면, 뼈가 잘못 붙거나 관절 운동 범위가 제한될 수 있으니 유의하세요.
- 발가락 골절이라면, 부드러운 쿠션감이 있는 신발을 착용하고, 충격을 최소화하는 것이 좋습니다. 무거운 운동화나 굽이 높은 구두 등은 피하십시오.
결론
발가락 골절 및 손가락 뼈 골절은 사소해 보이지만, 제대로 관리하지 않으면 장기적인 통증이나 기능 저하, 다시 부러질 위험까지 생길 수 있는 부상입니다. 깁스나 스플린트를 통한 비수술적 치료부터, 핀 고정 등 수술적 방법까지 각 상황에 맞는 치료가 이루어지며, 그에 따라 회복 기간도 달라집니다.


발가락 골절은 대체로 6~8주 정도면 깁스를 풀 수 있고, 스플린트 사용 시에는 4주 정도가 소요되곤 합니다. 하지만 복합 골절이나 나이가 많아 골밀도가 낮은 분이라면, 더 긴 시간이 필요할 수 있습니다. 손가락 골절 또한 비슷한 회복 패턴을 보입니다.
회복기에 “이제 좀 나아진 것 같으니 막 써도 되겠지?” 하다가 무리하면, 회복 기간이 훨씬 길어질 수 있습니다. 따라서 재활 과정을 천천히, 의료진의 조언을 지키며 진행하는 것이 가장 중요합니다. 한편, 보험 처리를 통해 치료비 부담을 줄이고 싶다면, 골절 발생 시 즉시 사진 촬영과 진단서를 발급받고, 보험사 약관을 꼼꼼히 확인하는 과정을 거쳐야 합니다.
무엇보다 가정에서 문턱이나 가구 모서리에 발가락을 찧지 않도록 조심하는 것이 최선의 예방법이겠죠? 깜빡하면 찾아오는 사소한 실수가 의외로 큰 골절을 유발할 수 있으니, 문득 “발가락은 오늘도 평화로운가?”라는 시시콜콜한 농담을 떠올리며 조심하시는 것도 방법입니다.
여러분의 발가락과 손가락이 항상 건강하고 기분 좋게 움직일 수 있도록, 작은 충격도 지나치지 말고 잘 살피시길 바랍니다!
'건강 과학 생물 천문 식품' 카테고리의 다른 글
| 장마 예상 기간 2025년, 서울 언제부터? (0) | 2025.05.19 |
|---|---|
| 들깨 파종시기, 모종 심는 방법 (0) | 2025.04.08 |
| 감자 심는 시기, 방법, 품종 (0) | 2025.04.01 |
| 복부 초음파로 알 수 있는 것 (0) | 2025.03.29 |
| 믹스커피 부작용, 칼로리 (0) | 2025.03.27 |