복부 초음파로 알 수 있는 것, 복부 초음파 검사 비용
안녕하세요. 혹시 복부가 자꾸 더부룩하고, 왠지 모르게 왼쪽 혹은 오른쪽 옆구리가 살짝 불편하거나, 검진센터에서 주기적으로 복부 초음파 검사를 받으라는 권유를 들어보신 적이 있으신가요? 복부 초음파 검사는 간, 담낭, 췌장, 신장, 비장 등 주요 장기의 상태를 살펴볼 수 있는 중요한 검사입니다. 게다가 방사선에 대한 부담이 없어 비교적 안전하고 간편하다는 장점이 있지요.


오늘은 복부 초음파로 알 수 있는 것, 그리고 복부 초음파 검사 비용에 대해 좀 더 자세히 이야기해 보겠습니다. 중간중간 살짝 장난스러운 농담도 섞어가며, 동시에 전문적으로 설명해 드릴 테니 재미 반, 정보 반으로 가벼운 마음으로 읽어주세요.
복부 초음파로 알 수 있는 것, 질환 및 이상
복부 초음파는 상당히 다목적 검사로, 여러 장기의 상태를 종합적으로 확인할 수 있습니다. 복부 초음파로 알 수 있는 것은 어떤 것들이 있으며 복부 초음파로 알 수 있는 질환들이나 이상 신호들을 체크할 수 있는지 구체적으로 살펴볼까요?
간 질환
- 간 초음파로 알 수 있는 것: 간염, 지방간, 간경변, 간암 등 간의 전반적인 상태를 확인합니다. 간의 크기와 모양, 간 표면의 결절 여부 등을 비교적 명확하게 볼 수 있어 간암 초기 징후도 발견할 수 있습니다. “간 초음파로 암검사” 가능하냐고 물으시는 분들이 있는데, 초음파 검사는 간암을 의심해 볼 수 있는 기초적인 단계에서 유용합니다. 하지만 확진을 위해서는 더 정밀한 영상 검사나 혈액 검사(알파태아단백 등)를 병행하기도 하지요.


담낭 질환
- 담석 초음파 가격이 궁금하신 분들도 많으실 텐데, 담석(담낭결석) 유무를 확인하기 위해서는 역시 복부 초음파를 활용합니다. 담낭 내부의 결석은 일반적으로 초음파에 뚜렷하게 보이며, 담낭 벽의 두께나 담즙 정체 여부도 확인할 수 있습니다. “담석 초음파 가격”은 병원마다 다르나, 이따가 자세한 비용 이야기를 드리겠습니다.
췌장 질환
- 췌장의 구조도 초음파로 확인합니다. 다만 췌장은 위장과 장에 가려져 있어 가스가 많이 차 있는 경우 시야 확보가 어려울 수 있습니다. 췌장염이나 췌장암 같은 중증 질환도 어느 정도 징후를 포착할 수 있으나, 영상상의 해석이 까다로운 장기 중 하나입니다.
신장 질환
- 신장(콩팥) 부위 초음파는 종괴(혹), 낭종, 결석 등을 점검하기 좋습니다. “신장에 혹과 낭종의 차이”처럼 형태적 구분이 필요할 때 특히 유용합니다. 신장암을 의심해야 할 때도 초음파가 1차적으로 활용됩니다.
비장 질환
- 비장은 좌측 상복부에 있으며 보통 흔히 언급되는 장기는 아니지만, 간과 마찬가지로 초음파로 비장의 크기와 병변을 파악할 수 있습니다. 만성질환이나 혈액 관련 질환이 있으면 비장의 크기가 비정상적으로 커질 수 있으니 확인해 볼 만합니다.
기타
- 복부대동맥의 직경도 초음파로 측정해 “복부 대동맥류” 여부를 확인할 수 있습니다. 또한, 복부 내 림프절이 커져 있는지도 확인 가능하며, 여성분들은 ‘질 초음파와는 다른 영역’이지만(질 초음파는 자궁, 난소 검사 중심), 일부 병원에서는 복부 초음파로 자궁 크기나 자궁근종 등을 간단히 확인하기도 합니다. 다만 여성 생식기 쪽 정밀 검사는 “질 초음파 비용”을 고려해 별도로 진행하는 게 정확합니다.
복부 초음파란 무엇일까요?
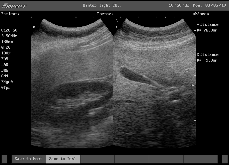
복부 초음파(Abdominal Ultrasound)는 인체에 해가 없는 음파, 즉 초음파를 사용하여 간, 담낭, 신장, 비장, 췌장 등 복부 장기의 형태와 상태를 확인하는 검사입니다. 흔히 “초음파와 방사선 관계”를 궁금해하시는 분들이 있는데, 기본적으로 초음파는 방사선(X선)을 사용하지 않습니다. 따라서 임신부도 안심하고 검사를 받을 수 있으며, 여러 번 반복해도 방사선 피폭에 대한 걱정이 없다는 것이 큰 장점입니다.



결과 영상을 보면 까만색, 회색, 흰색 영역이 모자이크처럼 보이는데, 이를 통해 장기의 경계, 혹이나 낭종 여부 등을 판별할 수 있습니다. 예를 들어 “신장에 혹과 낭종의 차이”를 진단할 수 있는 것도 초음파로 비교적 쉽게 확인이 가능합니다. 최근에는 해상도가 높은 장비들이 많이 보급되어, 수 밀리미터 단위의 이상도 찾아낼 수 있어 더욱 믿음이 가는 검사죠.
복부 초음파 검사 비용 및 요소
그렇다면 복부 초음파 검사 비용은 얼마 정도일까요? 일반적으로 국내 병원이나 건강검진센터에서 진행하는 복부 초음파 비용은 병원급, 보험 적용 여부, 검사 범위 등에 따라 크게 달라질 수 있습니다. 대략적으로는 5~10만 원 선에서 많이 책정됩니다. 간 초음파만 단독으로 진행할 수도 있고, 복부 전체를 보는 종합 초음파를 하는 경우도 있어 범위가 조금씩 다릅니다.

- 건강보험 적용 여부: 과거에는 건강보험 적용이 제한적이었으나, 최근에는 특정 질환 의심이나 중증도 확인을 위해 초음파가 꼭 필요한 경우 보험 혜택을 받을 수 있습니다. 다만 일반적인 건강검진 목적으로 초음파를 진행할 때는 본인이 전액 부담해야 하는 경우가 많으니, 병원 방문 전에 미리 상담받으시는 것이 좋습니다.
- 검진센터와 병원급 차이: 대학병원, 대형병원 등에서는 검사 장비가 고가이고 대기 인력도 많아 상대적으로 검사 비용이 조금 더 높게 책정될 수 있습니다. 반면 중소 병원이나 의원급에서는 보다 합리적인 가격으로 제공하기도 합니다.
- 추가 검사 필요성: 초음파에서 이상 소견이 나오면 “복부시티로 알 수 있는 검사”를 권유받을 수 있습니다. CT(Computed Tomography)는 방사선을 활용하지만, 초음파보다 훨씬 상세한 단면 영상을 제공하므로 암이나 내장 깊숙이 위치한 병변을 더 정확히 파악할 수 있습니다. CT 촬영은 비용이 높고 방사선 피폭 위험이 있으므로, 초음파로 1차 스크리닝을 하고 필요시 CT 등으로 넘어가는 순서가 일반적입니다.
복부 초음파와 방사선 관계
자, 이제 초음파와 방사선은 어떤 관계일까요? 일단 결론부터 말씀드리면 “초음파 검사는 방사선이 전혀 없으니 안심하셔도 된다”라는 것입니다. X-ray, CT, PET-CT는 방사선을 사용하지만, 초음파는 고주파수 음파를 사용하므로 방사선 노출이 일어나지 않습니다. “초음파검사 방사선”이라며 궁금해하시는 분들이 의외로 많은데, 둘은 전혀 다른 검사 원리를 사용한다는 점을 알아 두시면 좋겠습니다.
- 안전성: 임산부도 편하게 검사할 수 있습니다. 태아 검진을 위한 산모 초음파도 대표적인 예입니다.
- 검사 시 통증 여부: 초음파 검사는 젤을 바르고 탐촉자를 대는 것 외에는 통증이 없습니다. 다만 검사 부위를 꾹꾹 눌러가며 관찰하므로 복부가 예민하신 분들은 살짝 불편함을 느낄 수 있습니다.
- 반복 검사 용이성: 암, 간 질환 등 지속적으로 추적 관찰이 필요한 경우, 반복 검사에 초음파가 매우 유리합니다.
복부 초음파 주기와 주의사항



- 복부 초음파 검사 주기: 개인 건강 상태와 가족력, 나이 등에 따라 차이가 있지만, 일반적으로 “복부초음파는 몇 년에 한 번”이라는 기준을 잡기보다는 1년에 한 번씩 받아두는 것이 좋습니다. 특히 간질환 위험이 높거나 비만, 과음 등으로 지방간이 의심되는 경우라면 정기적 초음파 검사를 권장합니다.
- 복부 초음파 검사 준비 사항: 복부 초음파는 소화기관 및 담낭 상태를 잘 보기 위해서 일정 시간 금식이 필요합니다. 보통 최소 6시간 전부터 금식을 권유받는데, 위장에 음식물이나 가스가 차 있으면 췌장, 담낭 등의 시야가 가려질 수 있기 때문입니다.
- 복부 초음파 검사 시 주의할 점: 너무 지나치게 긴장하거나, 배에 잔뜩 힘을 주고 있으면 검사하는 분도 힘들어집니다. 포근한 마음으로 “내 배 안에 뭐가 있을까?” 호기심을 가져보며 긴장을 푸시면 검사 시간이 좀 더 편안해집니다. 과도한 웃음은 복부가 출렁일 수 있으니 검사 중간에는 대화를 자제해 달라는 요청을 받으실 수도 있습니다.
결론


복부 초음파는 비교적 간편하고 안전하게 간, 담낭, 신장, 비장, 췌장 등 복부 주요 장기를 살펴볼 수 있는 유익한 검사입니다. “복부 초음파 검사 비용”은 5~10만 원 선에서 형성되어 있으며, 특정 질환이 의심되거나 중증도가 확인되는 경우 일부 보험 혜택을 받을 수도 있습니다. “복부시티로 알 수 있는 검사”보다 정확도는 낮을 수 있으나, 방사선 노출 없이 빠르게 1차 검사를 할 수 있다는 것이 장점입니다.



당연히 초음파로 모든 질병을 100% 진단할 수 있는 것은 아닙니다만, 간암, 담낭결석, 신장 이상 등의 중대한 질환을 조기에 잡아내는 데 도움을 주고, “간 초음파로 알 수 있는 것”처럼 구체적인 장기 상태 파악에도 유용합니다. 주기적으로 복부 초음파를 받아서 작은 이상이라도 조기에 발견해 내는 게 중요하겠죠. 혹시 추가 검사(CT, MRI 등)가 필요한 경우에는 전문의 의견을 참고하시길 권장드립니다.
복부 초음파 검사 시 주의할 점을 다시 정리해 보면, 검사 전 금식이 필요하고, 검사실에서는 편안한 마음으로 배에 힘을 빼고 누워주시면 됩니다. 검사 시간이 길지 않으므로, 병원 대기실에서 시간을 너무 허투루 때우지 않으셔도 되겠습니다. 더불어 “질 초음파 비용” 혹은 “질 초음파로 알 수 있는 것” 같은 내용은 여성 생식기 쪽 정밀 검사를 말하니, 이는 또 별도의 영역이라는 점도 알아두시면 좋겠습니다.


오늘 내용이 도움이 되셨다면 좋겠습니다. 아무쪼록 건강이 제일 중요하니, 평소 자주 피곤함을 느끼거나 복부가 좀 이상하다고 느끼신다면 초음파 검사를 받아보시는 걸 권장드립니다. “신장에 혹과 낭종의 차이”처럼 미묘한 차이도 초음파를 통해 발견할 수 있으니 조기 진단에 적극 활용해 보세요. 그럼 모두 건강관리 열심히 하시길 바라고, 다음에도 더 유익하고 장난스러운(?) 이야기로 돌아오겠습니다.
'건강 과학 생물 천문 식품' 카테고리의 다른 글
| 발가락 골절 완치기간, 엄지‧새끼 손가락 뼈에 금이 가면? 깁스, 스플린트 (0) | 2025.04.05 |
|---|---|
| 감자 심는 시기, 방법, 품종 (0) | 2025.04.01 |
| 믹스커피 부작용, 칼로리 (0) | 2025.03.27 |
| 남부지방 장마 예상기간, 2025 중부지방 시작일, 서울 장마 언제부터? (0) | 2025.03.25 |
| 레드킹크랩 블루킹크랩 차이, 레드 블루 킹크랩 종류 구분 (0) | 2025.03.04 |