뇌 먹는 아메바 네글레리아 파울러리 vs 가시 아메바: 두 치명적인 미생물의 비교와 이해
최근 들어 미생물에 의한 감염 사례가 주목받으면서, 특히 물을 통해 감염되는 치명적인 아메바에 대한 관심이 높아지고 있습니다. 오늘은 "뇌 먹는 아메바"로 대표되는 네글레리아 파울러리와 "가시 아메바"로 불리는 또 다른 위험 아메바를 비교 분석하고, 이들의 생물학적 특징, 감염 경로, 증상, 진단, 치료법 및 예방 대책 등을 자세히 살펴보고자 합니다.

이 포스팅은 생명과학, 의학, 보건 분야에 관심 있는 독자뿐 아니라, 일반인들도 쉽게 이해할 수 있도록 전문 용어와 개념을 풀어서 설명드릴 예정입니다. 또한, 각 아메바의 생물학적 분류와 특징을 제공함으로써, 학문적 정보와 실생활에서의 위험 인식을 동시에 높이고자 합니다.
네글레리아 파울러리 아메바 vs 가시 아메바 아메바의 기본 개념과 생물학적 특성


네글레리아 파울러리 (Naegleria fowleri)
네글레리아 파울러리는 흔히 '뇌 먹는 아메바'로 불리며, 주로 따뜻한 담수에서 서식하는 단세포 생물입니다. 이 네글레리아 파울러리 (Naegleria fowleri) 아메바는 물에 노출된 상태에서 인간의 코를 통해 체내로 유입되어 뇌에 침투할 경우, 급격한 뇌염을 일으켜 치명적인 결과를 초래합니다. 주요 특징은 다음과 같습니다.

- 네글레리아 파울러리 (Naegleria fowleri) 생물학적 분류
- 도메인: Eukaryota
- 왕국: Protista
- 문: Percolozoa
- 강: Heterolobosea
- 목: Schizopyrenida
- 과: Vahlkampfiidae
- 속: Naegleria
- 종: fowleri
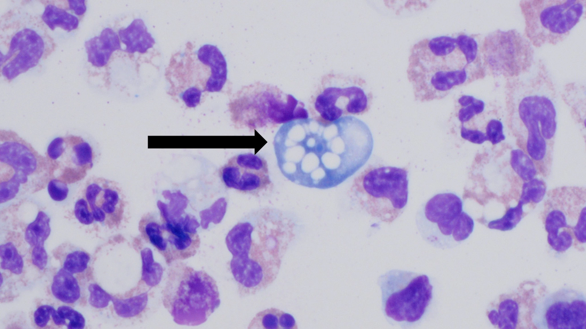
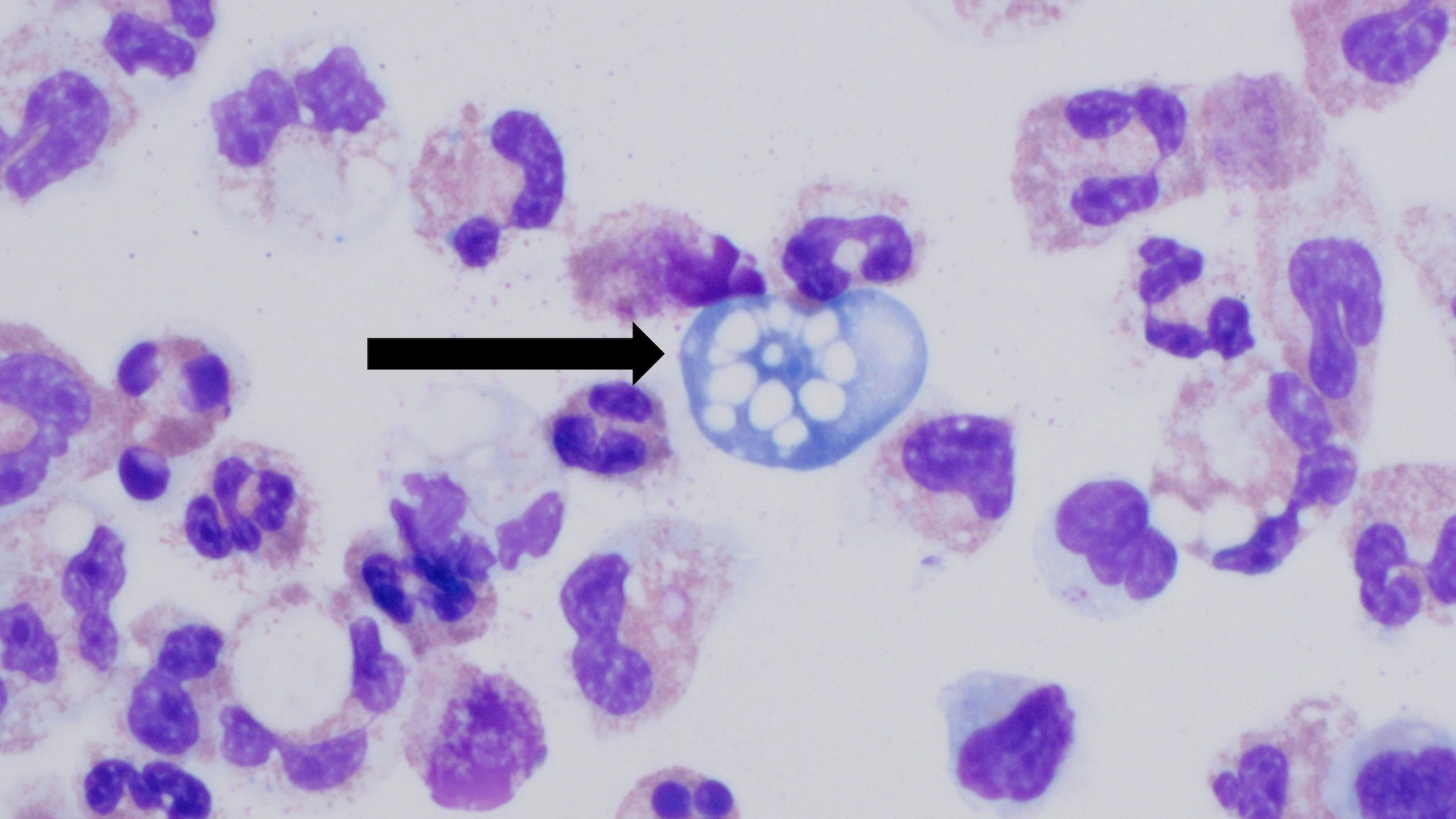
네글레리아 파울러리는 열대 및 아열대 기후 지역의 온난한 기후에서 주로 발견되며, 특히 여름철에 수영장, 온천, 강, 호수 등에서 감염 사례가 보고됩니다. 이 아메바는 3가지 생활 형태(수영성 아메바, 트로포포이딕 단계, 낭종 단계)를 가지며, 특히 수영성 형태는 숙주의 체내에 빠르게 침투할 수 있는 특성을 지니고 있습니다.
가시 아메바 (Acanthamoeba)
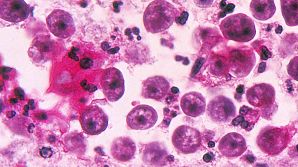
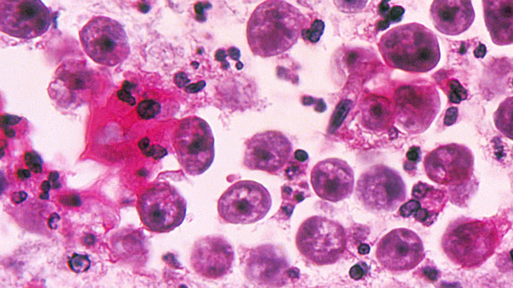
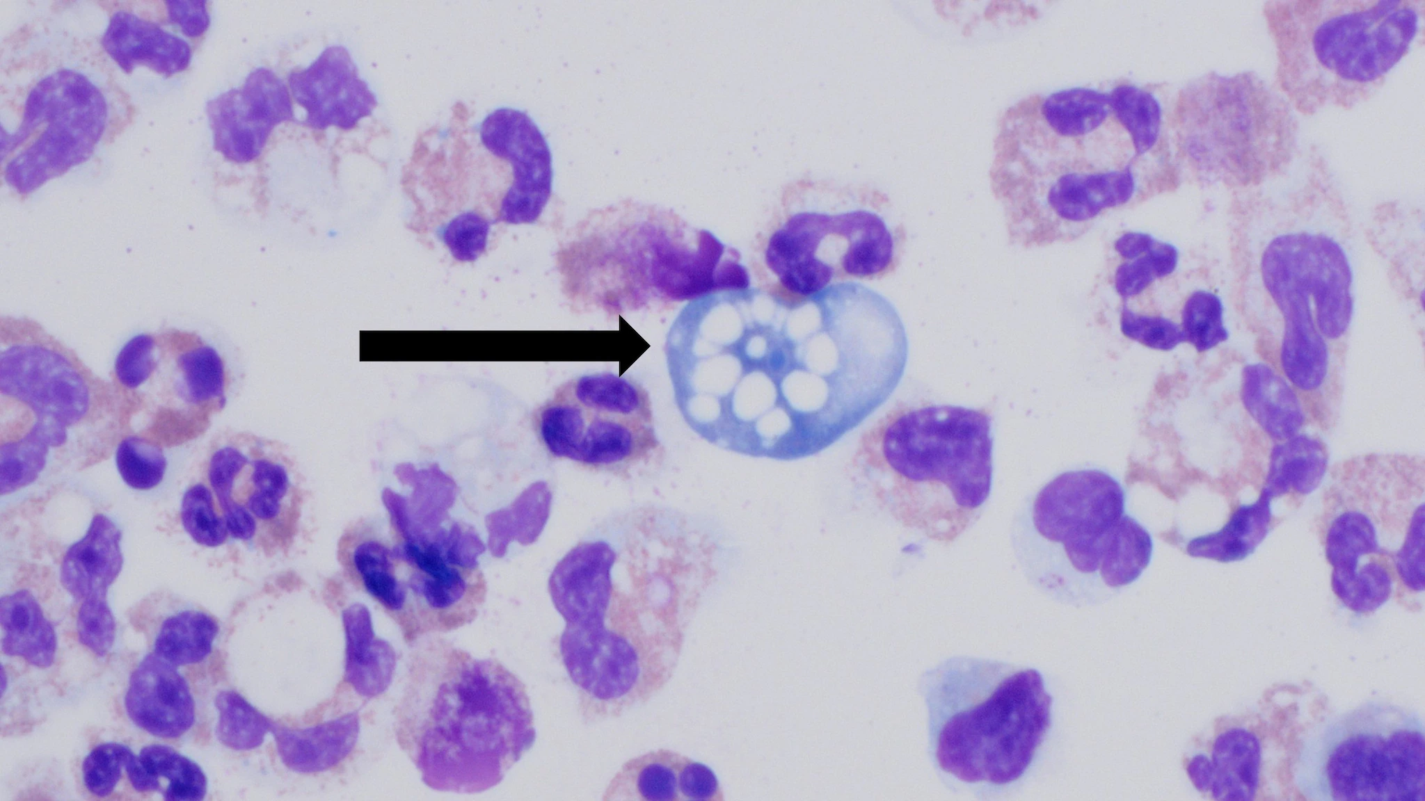
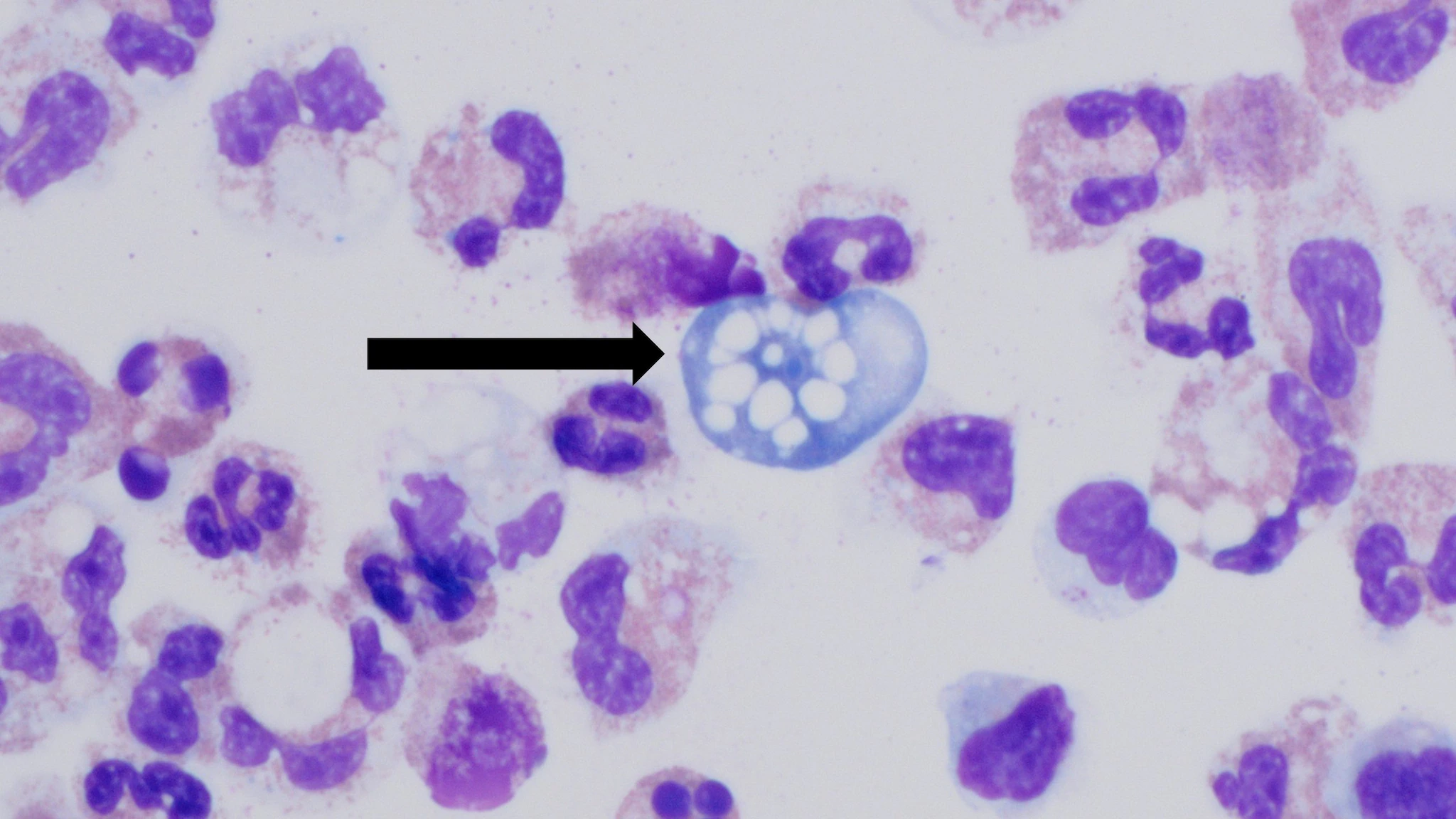
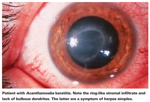
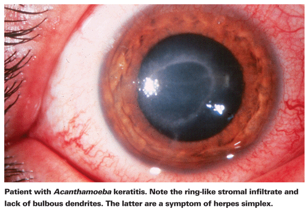
가시 아메바는 그 이름에서 알 수 있듯이, 세포막에 미세한 가시 모양의 돌기가 존재하는 특징적인 단세포 생물입니다. 이 아메바는 다양한 환경에서 서식하며, 특히 토양, 물, 공기 중의 먼지 등에서 흔히 발견됩니다. 가시 아메바는 주로 각막 감염을 유발하여 눈 건강에 심각한 위협을 주며, 드물게는 전신 감염이나 뇌 감염을 일으키기도 합니다.
- 가시 아메바 (Acanthamoeba) 생물학적 분류
- 도메인: Eukaryota
- 왕국: Protista
- 문: Amoebozoa
- 강: Discosea
- 목: Centramoebida
- 과: Acanthamoebidae
- 속: Acanthamoeba
- 종: 다양한 종(예: Acanthamoeba castellanii, Acanthamoeba polyphaga 등)
가시 아메바는 대부분의 환경에서 발견되며, 특히 렌즈 사용자의 경우 부적절한 관리로 인한 각막 감염 사례가 빈번하게 보고되고 있습니다. 또한, 면역력이 약한 사람이나 외상 후 감염 사례에서도 중요한 병원체로 작용할 수 있으므로 주의가 필요합니다.
서식 환경과 감염 경로의 차이
네글레리아 파울러리와 가시 아메바는 모두 자연환경에서 서식하지만, 그들의 생태학적 특성과 감염 경로는 크게 다릅니다.
네글레리아 파울러리의 서식 환경과 감염 경로
네글레리아 파울러리는 주로 온도가 높은 담수 환경에서 발견됩니다. 여름철에 물 온도가 상승함에 따라 아메바의 증식 속도도 빨라지며, 이로 인해 감염 위험이 증가합니다. 주요 감염 경로는 다음과 같습니다.


- 코를 통한 감염: 수영이나 물놀이 중 물이 코 안으로 들어가면, 아메바가 비강을 통해 뇌로 침투할 가능성이 있습니다.
- 침입 경로: 감염 후 아메바는 비강 내의 점막을 통과하여 후각신경을 통해 뇌에 도달하며, 급격한 뇌염(원시성 뇌염, Primary Amebic Meningoencephalitis, PAM)을 유발합니다.
- 감염 위험 요인: 온난한 계절, 뜨거운 물, 관리되지 않은 수영장 등
이와 같이 네글레리아 파울러리 감염은 매우 빠른 진행을 보이며, 증상이 발현된 후 치료가 어려워 대부분 치명적인 결과를 초래합니다.
가시 아메바의 서식 환경과 감염 경로
가시 아메바는 물, 토양, 공기 등 다양한 환경에서 쉽게 찾아볼 수 있는 병원체입니다. 이 아메바의 주요 감염 경로는 다음과 같습니다.


- 각막 감염: 주로 콘택트 렌즈 사용자에게 발생하며, 부적절한 렌즈 세척이나 관리 미흡이 주요 원인입니다. 감염 시 각막에 염증이 생기며, 심한 경우 실명으로 이어질 수 있습니다.
- 피부 및 전신 감염: 면역력이 저하된 환자에게서 드물게 전신 감염이나 피부 감염 사례가 보고되기도 합니다.
- 뇌 감염: 면역억제 상태에서 가시 아메바가 혈액을 통해 뇌로 확산되면, 매우 위험한 뇌 감염(Granulomatous Amebic Encephalitis, GAE)을 유발할 수 있습니다.
가시 아메바의 감염은 주로 만성적인 경과를 보이며, 치료가 늦어질 경우 회복이 어려워 심각한 후유증을 남길 수 있습니다.
감염 기전과 병리학적 차이
두 아메바는 숙주 내에서 침투하는 방식과 병리학적 변화가 서로 다릅니다. 이를 통해 감염 후 나타나는 증상과 진행 양상이 크게 달라집니다.
네글레리아 파울러리의 감염 기전
네글레리아 파울러리는 빠르게 이동하는 수영성 형태를 가지고 있어, 코 내부의 점막에 부착 후 침투하여 신경 조직으로 확산됩니다. 감염 초기에는 두통, 발열, 메스꺼움 등의 비특이적 증상을 보이지만, 급격하게 뇌염 증상으로 발전합니다.
$$
\text{감염 진행 속도} \propto \text{아메바 증식률} \times \text{침투 효율}
$$
이러한 수식은 감염 진행의 빠른 특성을 설명하는데, 한 번 뇌에 도달하면 면역 체계가 제대로 대응하지 못해 급격한 신경 손상이 발생합니다.

가시 아메바의 감염 기전
가시 아메바는 주로 접촉 부위를 통해 서서히 침투합니다. 각막에 감염되는 경우, 아메바가 렌즈나 오염된 물체를 통해 눈에 들어가면 먼저 각막 상피세포에 부착하여 염증 반응을 일으킵니다.

- 세포 부착과 침투: 아메바는 세포막에 존재하는 가시 모양 돌기를 활용해 숙주의 세포에 부착, 이후 효소 분비를 통해 조직을 파괴하며 침투합니다.
- 면역 반응: 초기 감염 시 국소 염증 반응이 나타나지만, 아메바가 낭종 형태로 전환할 경우 면역 회피 기전이 활성화되어 치료가 어려워집니다.
이처럼 가시 아메바는 상대적으로 느린 진행을 보이나, 만성화될 경우 심각한 후유증이나 실명 등의 결과를 초래할 수 있습니다.
진단과 치료: 최신 연구 동향
두 아메바 감염은 조기 진단과 빠른 치료가 중요한 만큼, 현재 다양한 진단 기법과 치료법이 연구되고 있습니다.
네글레리아 파울러리의 진단 및 치료
네글레리아 파울러리 감염은 증상이 발현된 후 진행 속도가 매우 빠르기 때문에, 조기 진단이 어렵습니다. 일반적으로 다음과 같은 방법이 사용됩니다.
- 진단 기법:
- 뇌척수액 검사 및 PCR 기법을 통한 유전자 검출
- 영상 검사(MRI, CT)를 통한 뇌부종 및 염증 확인
- 면역학적 검사(항체 검출)
- 치료법:
- 항아메바제(예: 암피테리신 B)와 항바이러스제, 항생제의 병용 요법
- 최근에는 약물 전달 시스템을 개선하여 뇌혈관 장벽을 효과적으로 통과하는 신약 개발 연구가 진행 중입니다.
치료는 증상 발현 직후 즉각적으로 이루어져야 하며, 늦어질 경우 예후가 매우 나빠집니다.
$$
\text{치료 성공률} \propto \frac{1}{\text{치료 지연 시간}}
$$
이러한 수식은 조기 개입의 중요성을 강조하는데, 실제로 증상 발현 후 24~48시간 이내에 치료를 시작해야 효과적인 결과를 기대할 수 있습니다.


가시 아메바의 진단 및 치료
가시 아메바 감염의 경우, 각막 감염이 대표적이어서 안과 진료를 통해 조기 진단이 가능합니다.
- 진단 기법:
- 각막 면봉 검사를 통한 미생물 배양
- PCR 및 염색법(예: Giemsa 염색)을 이용한 세포 관찰
- 전자현미경을 이용한 낭종 확인
- 치료법:
- 항아메바제(예: 밀리신, 포마신)와 항생제의 복합 요법
- 국소용 약물과 함께 전신 치료의 병행
- 렌즈 사용자의 경우, 렌즈 관리 교육 및 예방 조치 강화
최근 연구에서는 가시 아메바가 낭종 형태로 전환할 경우의 약물 내성을 극복하기 위한 신약 개발과, 기존 항아메바제의 효과를 증대시키기 위한 다양한 보조 치료법이 시도되고 있습니다.
감염 예방 및 공중 보건 대책
두 아메바 감염은 발생 빈도는 낮으나, 치명적인 결과를 초래할 수 있어 예방 조치가 매우 중요합니다. 각 감염의 특성에 맞는 예방 대책은 다음과 같습니다.
네글레리아 파울러리 예방
- 담수 이용 시 주의사항:
- 따뜻한 계절에 수영장, 온천, 강, 호수 등에서는 반드시 코에 물이 들어가지 않도록 주의합니다.
- 물놀이 후에는 코를 깨끗이 씻어내고, 가능하면 비강 세척제를 활용하는 것이 좋습니다.
- 시설 관리:
- 수영장 및 온천 시설에서는 정기적인 소독과 수질 관리를 철저히 하여 아메바 증식을 억제합니다.
- 관련 보건 당국은 온난한 지역에 대한 모니터링 및 경보 시스템을 구축하여, 감염 위험 지역에 대한 정보를 신속하게 제공합니다.
가시 아메바 예방
- 렌즈 관리 철저:
- 콘택트렌즈 사용자는 렌즈 세척 및 보관 용액을 정기적으로 교체하고, 사용법을 철저히 준수해야 합니다.
- 렌즈 사용 전후 손 씻기와 눈 주위 위생 관리가 필수적입니다.
- 환경 위생 강화:
- 가시 아메바는 토양, 먼지, 물 등 다양한 환경에서 서식하므로, 야외 활동 후에는 철저한 세안과 샤워로 오염 물질을 제거하는 것이 좋습니다.
- 면역력이 약한 경우, 공공장소에서의 위생 관리에 더욱 주의해야 하며, 외부 활동 후 안과 검진을 받는 것도 도움이 될 수 있습니다.


학문적 연구와 향후 전망
최근 네글레리아 파울러리와 가시 아메바에 대한 연구는 미생물학, 면역학, 신약 개발 등 다양한 분야에서 활발하게 진행되고 있습니다.
연구자들은 두 아메바의 감염 메커니즘과 숙주 반응을 면밀히 분석함으로써, 보다 효과적인 진단 및 치료법을 개발하고자 노력하고 있습니다. 특히, 분자생물학적 기법과 유전체 분석 기술을 활용하여 두 병원체의 유전적 특성과 약제 내성 기전을 규명하고 있으며, 이를 통해 신약 후보 물질을 발굴하고 있습니다.
또한, 기후 변화와 환경오염 등의 요인으로 인해 온난한 기후 지역에서 네글레리아 파울러리의 서식 범위가 확대될 가능성이 제기되고 있으며, 이에 따른 공중 보건 대책 마련이 시급한 상황입니다. 가시 아메바 역시 렌즈 사용 증가와 함께 각막 감염 사례가 늘어나고 있어, 사용자 교육과 제품 안전 기준 강화가 필요합니다.
연구 결과는 학술지와 학회에서 발표되고 있으며, 정부 및 보건 당국은 최신 정보를 반영하여 예방, 진단, 치료 프로토콜을 지속적으로 업데이트하고 있습니다. 앞으로는 디지털 헬스케어 기술을 접목한 실시간 감시 시스템 도입과, 개인 맞춤형 예방 전략이 더욱 중요한 역할을 하게 될 것으로 예상됩니다.
결론
네글레리아 파울러리와 가시 아메바는 각각 뇌염과 각막 감염을 일으키며, 감염 후 치명적인 결과를 초래할 수 있는 위험한 미생물입니다. 네글레리아 파울러리는 주로 온난한 담수 환경에서 발생하며, 코를 통한 감염으로 급속한 뇌염을 유발합니다. 이에 비해, 가시 아메바는 다양한 환경에서 서식하며 주로 콘택트렌즈 관련 각막 감염 및 드물게 전신 감염을 초래합니다. 두 아메바 모두 조기 진단과 신속한 치료가 중요하며, 각 감염의 특성에 맞는 예방 조치와 공중 보건 대책이 필수적입니다.
본 포스팅에서는 두 아메바의 생물학적 분류, 서식 환경, 감염 기전, 진단 및 치료법, 그리고 향후 연구 동향에 대해 자세히 살펴보았습니다. 이를 통해 독자 여러분께 미생물 감염의 위험성과 예방의 중요성을 다시 한번 강조드리며, 관련 사례와 최신 연구 동향을 바탕으로 보다 효과적인 대처 방안을 마련하는 데 도움이 되기를 바랍니다.
네글레리아 아메바 감염사례는 선진국인 미국에서 50년간 500건 정도 보고 된 것에 불과합니다. 그렇다고 해서 이 질병이 선진국 병은 절대로 아닙니다. 네글레리아 파울러리 감염증은 일반적인 뇌수막염과 차이를 인지하기 힘들고, 사망한 환자의 사망원인을 집요하게 분석해 낼 수 있는 진단 역량을 갖춘 나라가 선진국이기 때문입니다. 더운 지방의 국가들이 대부분 후진국인 점을 고려해 본다면 오히려 후진국에 이런 질병으로 사망한 환자가 많겠지만, 그런 나라에서는 국민의 죽음에 관심을 기울이지 않아서 단순 뇌수막염인지, 네글레리아 감염증인지 구분을 못하는 것일 뿐입니다.
그러니 더운 지방(라오스, 태국, 베트남, 미얀마 등)으로 여행을 갔을 때 소독된 수영장이 아닌 노천의 담수에서 수영을 하는 행위는 위험을 초래할 확률이 매우 높습니다. 이런 점에 주의를 기울이시기 바랍니다.
끊임없이 변화하는 환경 속에서, 네글레리아 파울러리와 가시 아메바와 같은 치명적인 미생물에 대한 경각심을 높이고, 올바른 예방 및 치료 지식을 습득하는 것은 우리 모두의 건강과 안전을 위한 필수적인 노력입니다. 앞으로도 지속적인 연구와 정보 업데이트를 통해, 미생물 감염에 대한 이해도를 높이고 보다 효과적인 대처 방안을 마련할 수 있기를 기대합니다.
네글레리아 파울러리와 가시 아메바에 관한 이 포스팅이 여러분의 건강 관리와 정보 습득에 큰 도움이 되길 바라며, 올바른 예방 수칙과 신속한 대처로 안전한 생활을 이어나가시기를 기원합니다.
'건강 과학 생물 천문 식품' 카테고리의 다른 글
| 레드킹크랩 블루킹크랩 차이, 레드 블루 킹크랩 종류 구분 (0) | 2025.03.04 |
|---|---|
| 사양벌꿀 진짜벌꿀 차이 (0) | 2025.03.01 |
| 등차수열의 합 공식 유도 (0) | 2025.01.27 |
| 삭센다 부작용, 가격 - 실제 사용 경험 후기 (0) | 2025.01.26 |
| 스타틴 부작용, 비 스타틴 계열 고지혈증 약 종류 (0) | 2025.01.24 |